Şocant! Ce au descoperit medicii în vaginul unei femei! Era acolo de 10 ani
Publicat pe 24.07.2014 la 18:12 Actualizat pe 24.07.2014 la 18:37
Şocant! Ce au descoperit medicii în vaginul unei femei! Era acolo de 10 ani
O femeie de 38 de ani i-a şocat pe medici după ce a ajuns la Urgenţe acuzând pierderi devere de greutate, letargie şi incontinenţă urinară.
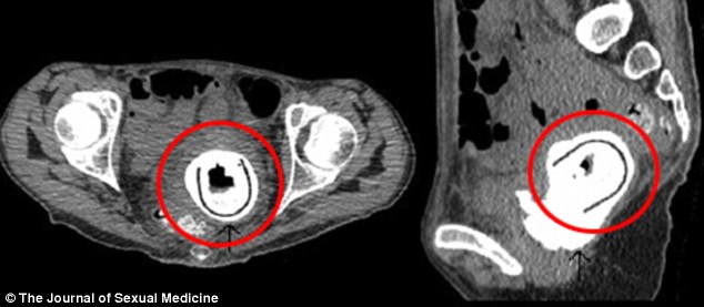
Medicii au fost şocaţi să descopere în vaginul femeii o formaţiune străină corpului care pătrundea din vagin în vezica urinară. După intervenţia de extragere a obiectului din vaginul acesteia s-a constatat că era vorba de o jucărie sexuală de 11 cm lungime.
Ulterior, femeia le-a povestit medicilor că, în urmă cu zece ani, a folosit o jucărie sexuală alături de partenerul său. Se pare că la momentul respectiv, femeia se afla în stare de ebrietate şi nu-şi mai amintea dacă a scos-o sau nu din vagin.
Se pare că aceasta avea un nivel de inteligenţă normal, nu prezenta semne de depresie sau psihoză şi nu fusese subiectul unui abuz psihic, au confirmat pentru presă medicii de la Aberdeen Royal Infirmary.

Citeşte şi:



